У собаки слабость в задних лапах. НЕ позвоночник!
- Войдите или зарегистрируйтесь, чтобы получить возможность отправлять комментарии
Здравствуйте!
У собаки с 10 декабря появилась сильная слабость (парапарез) в задних лапах. Потом начали добавляться новые симптомы: затруднение/отсутствие мочеиспускания, проблемы с почками, кровь в кале, эритроцитоз и т.п. На УЗИ простаты - абсцесс. Резкое улучшение наступила после 7 дней канамицина (антибиотик), но слабость в лапах осталась. Хотя все врачи указывают на проблемы с позвоночником (дископатия/грыжа/конский ховст/дисплазия) и слышать про другие варианты не хотят.
И вот сегодня в 6 утра мне удалось заснять интересное видео - https://youtu.be/kJUFL63912Y
Я не думаю, что свербеж в анале и заплетающиеся лапы - это два отдельных симптома. Возможно, у Макса хроническое раздражение кишечника или колики или что-то такого плана. Пищевая аллергия/интоксикация (я ведь кормлю его натуральным мясом, а не сухими кормами). Возможно, лапы слабеют из-за болей в анале?
т.е. суставы/позвоночник отдельно, инфекция, что ударила по мочеполовой системе (простате), кишечнику, почкам, эритроцитозу - отдельно, раздражение в анале - отдельно
все это началось с 10го декабря внезапно и одновременно. не много ли совпадений?
когда максу было плохо в декабре (до антибиотика) - у него тоже в очке было раздражение. и сейчас оно влажное - он испражнялся еще в 6 утра, но и сейчас в нем видны капельки влаги
сейчас хуже стало после капель Адвокат от глистов.
хуже именно с кишечником. сегодня у него опять черный понос, а не сформировавшаяся сарделька
Я думаю, жкт и мочеполовая система - вот здесь зарыта причина. но никак не в позвоночнике!!!!!
Помогите разобраться, пожалуйста!
А вот посмотрите на походку 7 февраля (ровно сутки) - https://youtu.be/-p12Vvx_PCA
Да, слабость в лапах есть, но небольшая (такая слабость стабильно все время после антибиотика, не хуже), и они не заплетаются вообще! Кал еще жидковат (мягкий), но уже сформированный в сардельку, а не лужицей.
Неужели тут никто из врачей не видит тенденции и взаимосвязи??? Я говорю об этом всем ветеринарам, но они отрицают. Неужели это чистое совпадение, что при расстройствах кишечника у собаки начинают сильнее заплетаться лапы. А когда со стулом норма и ходит он более уверенно. Может это просто моя собака "особенно нежная" и при чесотке в анале начинает ходить на раскарячках????
Ну не может это быть совпадением!!!
Добрый день! Сложно, конечно, что-то говорить "не видя пациента в живую". Я работаю человеческим доктором (онкологом-урологом) и своих собак лечила всегда сама, так как ветеринаром не доверяю(. В вашем рассказе и после просмотра видео, меня "смутила" простата. Сколько лет вашей собаке? У него есть температура? Абсцесс в простате из-за чего? До этого простату смотрели, аденом не было? После курса антибиотика УЗИ простаты повторяли? Тошнота и рвота есть? Аппетит норм или нет?
Эмили, кобель, 8 лет, интактный. Температура 38,5-39,0. До этого случая мы в ветклиники не ходили, т.к. он даже прививки не давался делать врачам (я сам делал при них). С 10 декабря все резко начало нарастать. Из-за чего абсцесс - непонятно. Я думаю, что это связано с застоями и отсутствием секса у собаки. С 10 декабря и до первого укола антибиотика - он вообще никак не проявлял свои сексуальные желания. Но первый же канамицин вернул его рефлексы на место и теперь он стал еще более гиперактивным в плане секса, чем до болезни. Последнее УЗИ делалось после 3 уколов канамицина. На днях поедем делать новое + повторим анализы крови (ОАК+биохимия).
Рвота была систематической (и до 10 декабря), пока не дал ему дронтал. С того момента ни разу. Аппетит нормальный в течении всей болезни (периодами даже усиленный), нос влажный, взгляд живой и адекватный.
Здравствуйте! Скажите, а после УЗИ вам не рекомендовали хирургическое лечение? Просто абсцесс предстательной железы достаточно серьёзный диагноз который требует незамедлительного оперативного вмешательства. Все симптомы которые вы описываете могут иметь место при абсцессе. По поводу проблем с позвоночником- были проведены исследования, осмотр невролога, или это просто предполагается?
Елена, наши врачи не знают что такое простатит у собак. УВЫ. Я первый начал говорить о подозрении на простатит, после того как прочитал вот эту статью американских ученых
Сходство с Максом по симптомам и причинам на 95%. Но меня просто высмеивали. Делали УЗИ - идеально. Через пару дней сделали повторное УЗИ в Днепропетровске (там понимают что у собак бывает простатит) - обнаружился абсцесс. Еще через время (в середине курса антибиотика) на новом УЗИ - абсцесс стал рубцеваться (или как-то так).
По поводу позвоночника. Меня только лишь посылают на МРТ, я отказываюсь. Собака и без того слабая (особенно тогда была), чтобы ее класть под наркоз. Только один врач из множества проверял рефлексы и ощупывал позвоночник. На левой лапе рефлекс слабее. В середине декабря (в пике заболевания) на задних лапах чувствительности вообще не было (например, он не мог себе чесать за ухом и когда я чесал пузико - лапа лежала бездвижно, хотя обычно - и сейчас - он ею дергает, почесывает в воздухе.




UPDATE
Пришли анализы бакпосева секрета простаты...
Staphylococcus aureus - золотистый стафилоккок
Стафилококк — опасное инфекционное заболевание. У собак может быть двух форм. Первая – это генерализованное заболевание, которое в патологический процесс вовлекает многие органы.
Также возникают признаки поражения слизистых оболочек половых органов. У сук это вагиниты с гнойными выделениями. У кобелей — поститы с гнойными выделениями
Отдельно хочется сказать о симптомах такой разновидности болезни, как золотистый стафилококк у собак, сходной с пищевым отравлением.
Течение болезни осложняется рвотой и постоянным поносом, что приводит к быстрому обезвоживанию организма.
нужно также учитывать, что это анализ из человеческой лаборатории. т.е. этот стафилоккок есть и у меня (вероятнее всего). но также могут быть и другие виды стафилоккоков, присущие именно собакам, на которые в человеческой лаборатории анализы не делают
плюс стафилоккок поражает уши (отит), в т.ч. среднее ухо. а среднее ухо может быть причиной нарушения координации движений. Еще до декабря Макс часто трусил головой, будто ему в ухе что-то мешало. Но это было периодически и не долговременно, потом проходило. Поэтому я особого внимания не обращал
P.p.s 10*3 КОЕ - это незначительное повышение. Как говорят микробиологи, оно не может быть основной причиной. При 10*7 стафилоккок расцветает. Но это доказывает тот факт, что инфекция ЕСТЬ. Вероятно, более сильный кокк собачего типа (который человеческая лаборатория не определяет), а золотистый идет как вспомогательный. Так что это не позвоночник, это инфекция
Здравствуйте! Как себя чувствует собака? Я бы вам рекомендовала все таки проконсультироваться с нормальным хирургом, чтобы он провел пальпацию предстательной железы (ректально). И если все таки подтвердится простатит, а тем более абсцесс то необходимо оперативное лечение + антибиотик курсом. Во время посева сделали анализ на чувствительность к антибиотикам?
Здравствуйте! Ответил ниже
Точного диагноза у меня до сих пор нет, но мысли такие.
Начну с того, что не исключаю у Вашего пса дисплазию тазобедренных суставов. Думаю, что это она явилась причиной "шаркающей" походки с детства. Но в истории этой болезни она, по всей видимости, участия не принимает. Если Вы сделаете снимки суставов, то сразу выявите это заболевание. Думаю, тот факт, что собака плохо передвигалась, не связан с процессом в суставах, а с ухудшением общего состояния вследствие интоксикации, вызванной инфекционным процессом в предстательной железе. При гнойных процессах в организме животных их состояние быстро и значительно ухудшается. О происхождении абсцесса в простате ничего не могу сказать, это вопрос к ветеринарной медицине.
Теперь, что касается анализов. Не буду сейчас оценивать каждый по показателям, скажу то, что сразу бросилось в глаза и запомнилось. Низкий уровень лимфоцитов в крови - признак низкого иммунитета. Из этой же серии - грибки в копрограмме в большом количестве. Организму пса было трудно бороться с инфекционным процессом. Даже при таком гнойном процессе лейкоциты в крови не повышены (думаю, что они повышены, просто изначально были оочень низкими).
Далее, низкий уровень кальция в сыворотке крови, причем неоднократно (и магния тоже). Эти элементы участвуют во многих процессах, поэтому при такой низкой их концентрации нарушения могут возникнуть где угодно и любой момент.
Высокие цифры мочевины, креатинина - признаки классической токсической почки при интоксикации. Это же явилось причиной малого количества мочи. Возможно, какую-то роль играло сдавление мочевых путей увеличенной простатой, но это был явно не основной механизм.
Повышенное количество эритроцитов, гемоглобина, гематокрит - признаки сгущения крови за счет потерь жидкости и токсического ацидоза (в крови накапливаются продукты окисления и вовремя не обезвреживаются не выводятся из организма).
Ничего не могу сказать о возбудителе. При таком низком иммунитете причиной абсцесса могут стать даже условно патогенные микроорганизмы, но меньше всего я представляю участие в нем уреаплазмы.
Теперь, в какую сторону двигаться. Если сейчас все более или менее стабильно, то нужно уделить внимание полноценному питанию, борьбе с гельминтами, восстановлению микрофлоры кишечника, общеукрепляющим мероприятиям.
1. Мясо - только свежезамороженная говядина, полностью размороженная перед приготовлением, проваренная 3-5 минут. Каши: рис, гречка, овсянка (просто засыпать в кипяток, не варить). Отварные овощи все (борщ, но не на костном или свином бульоне). 1 яйцо в неделю, нежирный творог, кисломолочка с живыми лактобактериями, морская рыба. Когда наладится микрофлора кишечника, будет достаточно кальция, поступающего с мясом. Дефицит магния нужно восполнить приемом лекарственных препаратов (магне-В6, например), дозировку уточняйте.
2. Уделить серьезное внимание противоглистному лечению. Если Вы не выдержали дозировку, то лечение нужно повторить. Хотите Дронтал, хотите - другой препарат, но в рекомендуемой дозе на кг веса собаки. Через 10 дней обязательно!!! повтор. Далее каждые 3 месяца с целью профилактики.
3. Я не занимался изучением микрофлоры кишечника собак, но слышал, что есть пробиотики для собак. Изучите этот вопрос, а если нет, то подавайте любой человеческий (Линекс, Бифи-Форм и пр.). Их основная задача - вытеснить из кишечника грибы. Обязательно хотя бы однократно противогрибковый препарат (Флуконазол), дозировка по инструкции к препарату.
Нужно будет периодически делать УЗИ простаты и мочевыводящих путей, контролировать показатели общего анализа крови.
Добрый день!
Я всё-таки, как онколог, насторожена в плане онкопатологии, надеюсь, я ошибаюсь, но не могу исключить злокачественную опухоль простаты. У Макса оба яичка опущены, если нет, то второе тоже часто даёт онкологию. Исключайте опухоль и поднимаете иммунитет! Сейчас ваша основная задача поддержать иммунную систему: хорошая кормёшка, пробиотики, никаких переохлаждений, витамино-минеральные комплексы и иммуномодуляторы. Заработает иммунитет и инфекция уйдёт.
Лечитесь и выздоравливайте!
VOLF, Emily спасибо!
Состояние стабильное. Слабость походки не исчезает, но остальные жалобы ушли после применения канамицина (с мочой норма, кал тоже, анализы крови удовлетворительные). Антибиотикограмму делали
Азитроміцин Устойчивый
Ампіцилін/Cульбактам Чувствительный
Ванкоміцин Чувствительный
Доксициклін Чувствительный
Кларитроміцин Устойчивый
Кліндаміцин Чувствительный
Левофлоксацин Чувствительный
Моксифлоксацин Чувствительный
Нітрофурантоїн Чувствительный
Оксацилін Чувствительный
Офлоксацин Чувствительный
Рифампіцин Чувствительный
Фосфоміцин Чувствительный
Хлорамфенікол Устойчивый
Цефотаксим Чувствительный
Цефтриаксон Чувствительный
Учитывая что здесь (вероятнее всего) хронический простатит, то подойдут всего 3 антибиотика (они единственные могут проникнуть через уплотненную стенку простаты) - хлорамфеникол (к нему бактерия устойчива), триметоприм-сульфаметоксазол и энрофлоксацин. Канамицин вглубь простаты добраться не смог, потому походка не улучшилась.
В декабре была острая форма, а хроническая уже давно, и я даже догадываюсь из-за чего. В те дни у нас постоянно шел дождь и мы много гуляли. поэтому приходилось Макса мыть в ванной (пузо/лапы) по 2-3 раза в день. Понятно, что полностью высохнуть перед очередным выходом на улицу он не мог. Пусть и было +5, но влажный подшерсток, вероятно, застудил простату. Отсюда и пошла острая фаза с 10 декабря. Учитывая еще проблемы с глистами, что ослабили иммунитет - стафилококк вылез и начал буйствовать. Канамицин подчистил внешние рубежи (уретру, почки, мочевой) и задержка мочи снялась. А иммуномодуляторы (гепавикел, катозал, кантарен, аскорбинка) повысили иммунитет и хроническая инфекция поутихла.
Но простата до сегодня воспалена и увеличена (исхожу из походки, на днях сделаем узи и ректальное обследование).
Поэтому я решил все-таки применить антибиотики и поддерживающую терапию:
- Энрофлоксацин (Байтрил) - 5 дней
- после переход на Бисептол - 20 дней
- Биоспорин (аналог Линекса, но более эффективный) - 10 дней
- Витамины для беременных - 30 дней
- Кафорсен (иммуномодулятор) - 10 дней (по окончании Биоспорина)
- Нейромидин (чтобы улучшить нервные импульсы, ведь лапы уже долгое время в атоничном состоянии) - 5 дней
Я понимаю, что антибиотик ударит по кишечнику и иммунитету, но стафилококк (и, возможно, микоплазму) надо подавить. Параллельно поддерживая и восстонавливая иммунитет.
Что можете еще посоветовать из лекарств добавить?
Но перед началом лечения, сдам анализы сам. Стафилококк золотистый - человеческий тип и может быть во мне. Тогда нам с Максом нужно лечиться одновременно, чтобы я его не заразил снова.
Элевит пронаталь - самые лучшие витамины для беременных). Бисептол очень хороший препарат, но может приводить в редких случаях, у людей во всяком случаи, к острой почечной недостаточности, с ним надо аккуратнее. Своей собаке давала для иммунитета бады с японскими грибами - кардицепс, рейши, шитаки, они очень хорошо помогают).
А какие грибы? Есть название БАДа?
Витамины буду брать в порошке, т.к. Макс таблетки наотрез не ест. Порошок с бульйоном смешать проще, чем таблетку.
Сейчас также изучаю свечи от простатита. Первое и основное - надо снять воспаление простаты. Оно снимается за 3-9 недель, в зависимости от степени воспаления. Уничтожение кокков внутри простаты + свечи для снятия воспаления.
Про бисептол изучу вопрос, спасибо. В любом случае, контроль ОАК и биохимии при антибиотиках каждые 10 дней будем делать
Добрый день!
У меня, когда у собаки онкология была, мы его буквально с того света вытащили, благо вся семья врачей. Прооперировали и год он у меня на "Ревифорте" прожил, как здоровая собака, но метастазы всё равно взяли своё(((. Ревифорт это питерский БАД, в состав которого входят грибы и по моему эхинацея и ещё какая-то трава для иммунитета. Продаётся он по моему только через "сеть", короче там подписываться надо и тогда цена ниже. Я, если честно весь этот сетевой бизнес не люблю, но аналогичных препаратов в аптеке не видела. Есть отдельно продаётся во многих аптечных сетях кардицепс в виде чая, но насколько он эффективен, я не знаю. Да, Ревифорт в капсулах и капсулу лучше, чтобы собака глотала целиком.
Лучше конечно узи не только простаты но и всех внутренних органов сделать, но только при условии, что для собаки это дополнительным стрессом не будет. Важно помнить, что стрессы ему сейчас противопоказаны. Мой пёс сильно боялся ветеринарку и паниковал, вплоть до трясучки... а стресс сильно снижает иммунитет.
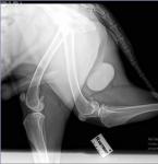
Мы делали комплексное УЗИ, оно есть в фотоархиве. И вот тут я прикрепляю. Плюс отдельно делали УЗИ сердца, почек, мочевого. Веде норма или почти норма.
Я на 95% уверен, что у Макса простатит, вызванный стафилококком, который расцвел из-за глистной инвазии. Как-то так. Если бы это была онкология - ношпа бы не помогла и канамицин не ввел бы макса в стойкую ремиссию. Сейчас же его ничего не беспокоит, кроме походки. Даже рвоты нет. А походка не улучшилась, потому что простата еще воспалена. Вообще, уменьшение простаты (опухоль спадает) за 3-9 недель после лечения. Максу, фактически, мы простатит не лечили (его причину - стафилококк не подавили в простате, канамицин не может проникать в стенки простаты).
Это не я такой уммный :) Вот даю ссылку на статью американского университета, где ооочень подробно расписаны проблемы простатита и с Максом все сходится (по симптомам и причинам) на 95%.
Надеюсь, эта статья будет полезна ветврачам. Что интересно, в ней сказано, что анализы у собаки с хроническим простатитом не отличаются от нормы особо, в т.ч. УЗИ самой простаты (на нем лишь меняется эхогенность - у Макса пониженная).
Я искренне надеюсь, что у Макса обычный простатит и вы молодец, вы всё правильно делаете. Никогда не доверяйте врачам на 100%, всегда всё перепроверяйте! Это нормально. Просто, когда у своей собаки пропускаешь болезнь по которой сам профи... начинаешь перестраховываться). Просто советую вам и дальше размышлять логически и грамотно лечить своего питомца. Выздоравливай, Макс!
Если будут вопросы, пишите, чем смогу, подскажу)
Здравствуйте! Прокололи Байтрил (энрофлоксацин) - 7 дней и Зинаприм (аналог Бисептола) - 5 дней. К середине курса Макс стал почти бегать, походка улучшилась явно. Но, как только пошли дожди (а у нас тут слякоть до сегодня: дождь со снегом, на следующий день гололед и вот такая мрячка влажная уже неделю) и Макс вышел на прогулку, промочил себе ноги - на следующее утро проблемы вернулись снова. Все говорят - не может быть, но я вижу реальные факты и соотношения. Собака шла на поправку...
Сейчас у меня в разработке 4 вероятных диагноза:
- дискоспондилит (он учитывает простату, т.к. заражение жискоспондилитом идет из мочеполовой системы)
- полицитемия (гематокрит и гемоглобин стабильно повыешнные)
- диабет
- проблемы с щитовидкой (делал анализ на ттг в человеческой лаборатории - показатель 0,005 мкМо/мл - это жутко низкий, видимо ошибка)
Здравствуйте всем!
Сегодня получил результаты на диабет. Глюкоза 1,00, но мне сказали, что она распадается при транспортировке сыворотки более суток (мы отправляли на Киев из Запорожья).
Зато инсулин показывает точный результат. В итоге, у Макса имеем 11,5 при нормах 30-200.
Вспомним системно повышенный креатинин и все складывается
У Макса - ДИАБЕТ.
А неврология - вторична, как следствие (диабетическая полинейропатия?)
Также пришли анализы на нематоды. В декабре имели результат 1,47 (по антителам ИФА). Сегодня - 1,58. Знаю, что это не количественный, а качественный показатель, но сам факт: глисты есть! Они не выведены до конца, они были лишь приглушены. И моя самая первая версия - все проблемы из-за глистов - логично укладывается сюда. Они продолжают плодиться и токсинами отравлять собаку. Возможно, это экзогенный диабет (глисты не могут засесть в поджелудочной?)
Потому что бакт. простатит (стафилококк) врядли сочетается с диабетом, как основной проблемой. А вот с глистной инвазией - да.
Короче, имеем сразу несколько выводов.
1. Все местные врачи - козлы! Я прямым текстом говорил и про глистов и про диабет. Если бы сам лично не сдал анализ на гормоны - не узнали бы до сих пор. Им только МРТ подавай.
2. Это не онкология, а значит, можно немного улыбнуться
3. Теперь мне нужны толковые эндокринолог и паразитолог
Кстати, по последнему... Сергей Коняев - козел! Это известный российский паразитолог. Мы с ним общались по почте. ОН просто высмеял мою теорию о том что всему причина глисты. Надменно, мерзко. И это человек, которого все хвалят, который занимается узким направлением паразитологией... Что говорить тогда о простых ветеринарах, без ученых степеней и посещений международных конференций?
Зная, как лечат наши врачи, я быстрее сам изучу эндокринологию, чем смогу довериться им.
P.s. Без обид и претензий к Wolf и другим врачам на этом форуме, что отвечали мне в теме. Вы собаку лично не видели и вы категорично не высмеивали мои версии про глистов/диабет/простатит. А вот наши местные мерзости... Когда привел собаку на УЗИ простаты - в лицо услышал хахаха, зачем вам это надо - у него позвоночник. В харьковском Дружочке до сих пор в отзывах висит "ответ врача" после моего визита к ним - они до сегодня настоятельно рекомендуют МРТ и ставят дифдиагноз "люмбосакральный стеноз". Хотя я во весь голос орал: глисты, что-то внутреннее (аутоимунка). Даже не задумались - отмели эти вероятности моментально. Только позвоночник! Только МРТ! Как говорил классик юмора: ну, тупые...
- Войдите или зарегистрируйтесь, чтобы получить возможность отправлять комментарии