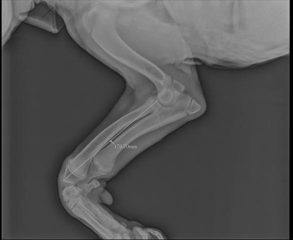
Размет передних лап
- Войдите или зарегистрируйтесь, чтобы получить возможность отправлять комментарии
Я, конечно, не ветврач, но думаю это состояние как-то связано с суставами, может врожденное или вследствие нехватки кальция. Для уточнения диагноза придется обратиться к врачу.
Причин размета лап может быть несколько. Как вы нагружаете свою собаку? Причина может быть в повешенных или пониженных нагрузках. Вы держите собаку дома или на улице? Если собака домашняя, то причиной часто служит скользкое напольное покрытие(ламинат), собаке необходимо ходить по песку, щебню. Так же необходим анализ крови на витамины и кальций-фосфорное отношение. Какой рацион кормления у вашего щенка? Хватает ли ему минеральных веществ и витаминов для развития костной ткани суставов. Необходимо включит в рацион мясо-костную муку, рубец и субпродукты, рыбную муку, творог.
- Войдите или зарегистрируйтесь, чтобы получить возможность отправлять комментарии





