Проблемы с лапой у щенка
- Войдите или зарегистрируйтесь, чтобы получить возможность отправлять комментарии
Здравствуйте, подскажите пожалуйста, у щенка 3,6 мес. самоед внезапно задняя правая лапа стала выворачиваться в колене наружу, сделали снимки и врач сказал, что у него травма шейки бедра, назначили принимать ремадил -20 4 дня и месяц канвит хондро макси. На второй день приема таблеток у собаки началась рвота и недержание мочи, а так же отказ от еды и вялость, повязку сняли, лапа так и осталась выворачиваться наружу, может нам поставили неправильный диагноз? Что нам делать дальше?
Здравствуйте, если Вы сделали снимок, скорее всего диагноз поставлен верно. Недержание мочи и отказ от корма могли быть вызваны болевыми ощущениями.Поговорите с врачом, о возможности применения обезболивающих средств, во время болевых приступов, старайтесь успокоить собаку и ограничить активность. Рвота, действительно является одним из побочных эффектов Риботана. Если рвота не постоянная, а в единичных случаях, убрать рвотные позывы можно уколов собаке Церукал (0,2мл/10кг). Если же она будет продолжаться, лучше сменить препарат. Лечение таких заболеваний очень длительный процесс, занимающий не одну неделю, и в результате небольшая хромота может остаться на всю жизнь.
В том - то и дело, что как обезбаливающее и противовосполительное нам назначили ремадил, и до этого собака бегала за котом и не испытывала особого дискомфорта и писала на пеленку, но на следующий день после приема таблетки начались проблемы. Хромота меня не очень пугает, дело в том, что он когда ходит очень сильно выворачивает лапу, станет она на место, вот в чем вопрос?
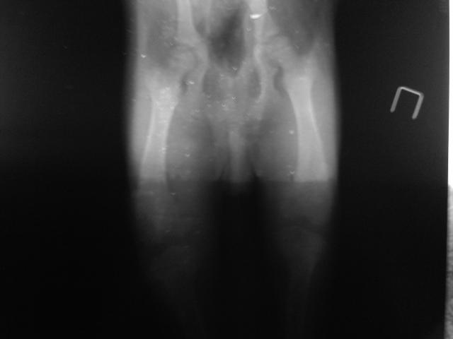
Это фото было сделано пред тем как наложили повязку, после снятия повязки стала еще больше выворачиваться
Видно, что лапка выворачивается не в коленном, а в тазобедренном суставе.Если говорить простым языком, это произошло из-за того что сустав вышел из своей чашечки и теперь находится в не зафиксированном состоянии, как хочет так и выкручивается. Если мы говорим и вывихе, это подразумевает установку сустава на место и наложение тугой фиксирующей повязки, минимум на 7-10 дней, в дополнение к этому противовоспалительные препараты. Если на Римодил появилась такая реакция, возможно, есть смысл, после консультации с лечащим врачом, заменить его на Траумель. Это гомеопатический препарат, практически без побочных эффектов, но достаточно эффективный. Если не сложно, не могли бы Вы выложить фото рентгеновского снимка, сделав его фотографию на стекле окна. Возможно что-то удастся сказать в дополнение. Витамины с хондроитином и глюкозамином обязательно, если вы питаетесь "натуралкой", я бы посоветовала добавить в рацион желатин, но не растворимый! А вываренныый из куриных или говяжих суставов (как на холодец). Получившийся густой бульон можно смешивать с кашей.
ремадил нам выписывали на 4 дня,мы их столько и принимали, но со 2 дня началось недержание мочи, в связи с этим пришлось снять повязку раньше, т.к. он был весь в моче,вся повязка была мокрая, как и он сам, сейчас мы принимаем канвит хондро макси, нам его выписали на 30 дней, наложить новую повязку нет возможности, так ка мы ездили в другой город, но меры эти были необходимые, т.к. он сам очень мучался. Что я могу ему сейчас сделать сама?
Со стороной все понятно. На снимке видно небольшой вывих тазобедренного сустава. В принципе, ничего страшного. Я бы посоветовала полностью отказаться от приема Римадила. К курсу Канвита добавить курс Траумель С, если в таблетках: 1/4 таблетки три раза в сутки за 15 минут до еды, или в виде инъекций: по 0,2 миллилитра подкожно, 1 раз в три дня, курс 2 недели. Раствор можно хранить в шприце в прохладном, темном месте. Что бы уменьшить негативные последствия приема Римадила и поддержать организм, рекомендую Гаммавит по 0,5 мл через день 3-5 дней, подкожно. Повязку, конечно, лучше попробовать наложить, хоть минимальная фиксация сейчас желательна. Что бы было легче можете использовать узкий эластичный бинт.
А не подскажите как правильно наложить, или может видео есть или описание. Меня еще волнует вопрос нога на место станет, она неестественно вывернута при хотьбе?
Если не оставите все на самотек, в течение 2-3 недель функция сустава должна полностью восстановится. Как зафиксировать тазобедренный сустав у собаки, я, к сожалению, не нашла но можете посмотреть как накладывается повязка на тазобедренный сустав у человека, суть та же.
Спасибо вам огромное вы мне очень помогли. Еще один вопрос: есть такой препарат как травматин, если я его найду у нас, может стоит его поколоть?
Да, можете.
Здравствуйте,я узнавала, у нас такой препарат не продается. его можно заменить аналогом?
К сожалению структурных аналогов Траумеля нет. Попробуйте препарат Превикокс по 0,5 таблетки 1 раз в день 5-7 дней. Если будет необходимость, прием препарата можно продолжить.
Еще раз здравствуйте, из всех препаратов противовоспалительных у нас есть флексопропен, можно его принимать?
Здравствуйте, действующим веществом препарата является кетапрофен, он конечно, не категорически противопоказан, как, допустим, диклофенак, но принимать его необходимо с большой осторожностью, желательно под наблюдение врача и в уменьшенной дозировке. А в вашем случае, лучше воздержатся, поскольку Римадил, препарат схожий по действию, вызвал осложнения. Если препаратов о которых мы с Вами говорили нет в аптеках города, попробуйте заказать в интернете.
в том-то и проблема, что из всех препаратов у нас в Беларусии ничего нет
посоветуйте, пожалуйста, нашла вот такой препарат http://zooexpress.by/vetapteka/apteka_alfavit/vetalgin_srednie_krupnie_1...
можно этот препарат принимать вместе с канвит хондро макси и травматином
и еще вопрос как правильно (в какой дозировке) колоть травматин?
или есть еще вот такой препарат http://vetapteka.by/sobaki/veterinarnye_preparaty/gomeopaticheskie/honda...
К сожалению мне не видно полностью ваши ссылки. Судя по первой там Ветальгин - собакам нельзя (Действующее вещество Диклофенак). Вторая, наверное, Хонда, в составе капсул или мази: хондроитин и глюкозамин, которые собака и так получает с Канвитом. Мази использовать в любом случае не получится, я же надеюсь ножка все-таки зафиксирована эластичным бинтом...?
Травматин колоть по 0,3 мл, подкожно 1 раз в день, пока 7 дней, далее все зависит от клинических признаков.
Да, повязочку наложили, по сути это единственное чем я могу ему сейчас помочь, я вообще просто в шоке, перерыла весь интернет вдоль и поперек, ничего нет. Спасибо вам огромное за помощь, будем надеяться, что все восстановится. Я еще хотела спросить, если, вдруг у меня появится возможность купить страйд (что тоже у нас тоже нонсес), могу я его заменить вместо канвит хондро, я читала, что он все таки намного лучше?
Прошу прощения за назойливость, вроде как нашла я траумель, но смогу забрать к концу следующей недели, скажите если смысл еще колоть, если есть, это получается 5 уколов, я правильно поняла? Еще раз спасибо.
Здравствуйте, всегда рада помочь. К сожалению, по-поводу Страйда ничего не могу сказать, я никогда не сталкивалась с этим препаратом, единственный, за который могу поручиться, если вы хотите заменить Канвит, это Brewers Excel 8 в одном с глюкозамином. По поводу траумеля, здесь нужно смотреть по состоянию животного. Возможно к концу следующей недели болевых ощущений не будет, а сустав почти восстановит свое положение, тогда в приеме препарата не будет смысла. Сейчас вы можете пройти курс Катозала и Гаммавита, о которых я писала выше.
Если можно, я в среду снимаю повязку, могу сфотографировать и прислать вам фото, а вы посмотрите и подскажите, что дальше делать???
Конечно, присылайте!
Здравствуйте, сняли повязку. Картина особо не поменялась, прокололи травматин, сейчас уже вторую неделю пьем канвит хондро макси, помимо этого варю ему говяжий бульон из ног, по возможности ограничиваем в движении. Подскажите, что нам делать дальше. Очень боюсь, что он так и будет выворачивать лапу, после травмы прошел уже почти месяц (22.08.) может нужна все таки операция???
- Войдите или зарегистрируйтесь, чтобы получить возможность отправлять комментарии


