дефект тазовой кости собаки
- Войдите или зарегистрируйтесь, чтобы получить возможность отправлять комментарии
Добрый день.
Если бы все было так просто, как Вы хотите, то люди бы вообще не ходили к врачам. Показал врачу анализы больного, данные рентгенографии или УЗИ, и диагноз готов.
Но в медицине все совершенно по-другому. Диагноз основывается на данных истории заболевания и осмотра. Все остальные методы диагностики, в том числе и рентгенография, второстепенны. Отсюда и их название - дополнительные методы исследования. Все эти правила также действуют и применительно в ветеринарной медицине.
Поэтому опишите, пожалуйста, по какой причине делали снимки, были ли жалобы, если да, то какие и какова давность заболевания.
Я не ветеринар, я хирург, да и фотографии очень мелкие. Поэтому укажите, если сможете (стрелками или каким-то другим способом), на каком участке имеется патология. Тогда попытаюсь чем-то Вам помочь.
Добрый день!
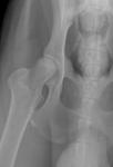
Симптомы: собака начала хромать и поджимать правую заднюю лапу. Данные симптомы появились около 2х недель назад. Ранее данных симптомов никогда не было. На основании этих симптомов был сделан рентген снимок. Патология на головке бедренной кости.
Здравствуйте.
Большое спасибо за боле подробную информацию и хороший снимок. Думаю, я смогу Вам помочь, а помогу ли собаке, пока не знаю.
Я проработал 20 лет хирургом в районной больнице, да плюс сам был "награжден" такой патологией, поэтому кое-что в этом понимаю.
Диагноз ясен, и, если отбросить тонкости, у Вашего питомца явления выраженного деформирующего коксартроза (артроза тазобедренного сустава). С причиной нужно разбираться. От этого будет зависеть дальнейшая тактика и прогноз. Учитывая молодой возраст собаки, можно предположить не диагностированную в щенячьем возрасте дисплазию тазобедренного сустава.
Какие исследования нужно выполнить? МРТ обоих тазобедренных суставов и рентгенографию на цифровом аппарате. Объяснение того, зачем нужно выполнять однотипные исследования, займет много времени, поэтому я от него воздержусь. Но, если Вам это нужно, я могу написать, в чем дело. Если с такими исследованиями проблема, то постарайтесь выполнить хотя бы что-то из этого. Будем ставить диагноз методом исключения.
Если сможете так же увеличить левый сустав, то сделайте, пожалуйста, и его. Я хочу посмотреть снимок.
Есть возможность проконсультировать собаку у ветеринара травматолога?
Здравствуйте!
Мы обратились к нескольким хирургам ортопедам в городе, диагноз один, как вы и сказали.
Вылечить дисплазию, конечно, невозможно. Но собаке стало немного лучше, уже перестала поджимать лапу, только немного хромате. Будет стараться минимизировать развитие артроза и раз в пол года проходить обследование.
Если вы можете нам посоветовать какие-либо меры по максимальному приостановление артроза, буду вам благодарна.
Спасибо за помощь!
Чтобы что-то посоветовать, необходимо выяснить причину происходящих в суставе изменений. Если вы столкнулись с такой серьезной проблемой у своего питомца, то Вам нужно знать все об этой болезни.
Термин дисплазия означает недоразвитие. Но это не диагноз. Диагноз появится, когда мы узнаем причину этой самой дисплазии. Тазобедренный сустав представляет собой сложную систему, состоящую из суставных поверхностей двух костей и вспомогательного связочного аппарата. Последний, в свою очередь, представлен внутрисутавными и внешними связками.
Так вот, в этом контексте очень важно знать, какое именно отклонение приводит к развитию артрозных изменений в суставе. Если это связочный аппарат, так это одно дело, а если несоответствие суставных поверхностей - это совершенно другое. В связи с этим, я и предложил Вам вышеописанный план обследования.
По снимку мне кажется, что головка правой бедренной кости несколько меньше левой. Но с уверенностью я не могу Вам этого сказать. Я не ветеринар, поэтому правильность формы головки бедренной кости визуально определить не могу. Только МРТ покажет точные размеры костей и полноценность связочного аппарата.
Сразу скажу Вам, что часто рекомендуемые препараты на основе глюкозамина и хондроитина сульфата (якобы укрепляющие связки и способствующие восстановлению хрящевой ткани) - это средства с недоказанной эффективностью. Они не несут вреда здоровью, но и польза от их применения довольно сомнительная. Для хорошо и полноценно питающейся собака они точно ни к чему. Навязывая эти средства, производители фармацевтической продукции широко пропагандируют идею восстановления суставного хряща. Такой менеджмент приносит им баснословные прибыли. Препараты этой серии не из дешевых, поэтому Вы самостоятельно должны определиться, верите ли Вы всему этому нужно ли оно вам.
В отношении совета по лечению ничего не подскажу, пока не будет установлен диагноз. Дело в том, что принципы лечения при разных диагнозах практически противоположные.
Одно скажу, читайте много медицинской (!!!) литературы, чтобы ориентироваться в проблеме. Это, кроме Вас, не нужно никому, поэтому будете регулярно сталкиваться с "халтурщиками" от ветмедицины.
Будут вопросы, обращайтесь. С удовольствием отвечу.
- Войдите или зарегистрируйтесь, чтобы получить возможность отправлять комментарии


