Атония мочевого и кишечника у собаки.
|
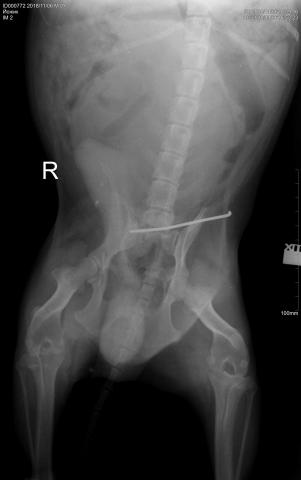
Добрый день. Три месяца назад собаке сделали операцию на позвонке после дтп.Ставили спицы (проблема между 3 и 4 позвонком).Одна спица не прижилась и ее удалили, вторая так и осталась. Собака у меня последние две недели, до этого ее лечением занимался другой человек. В клинике где делали операцию ни чего толком не говорят кроме того, что атония мочевого и кишечника так и останется и точка. Собака самостоятельно начала ходить, последнее время на прогулках поднимает ногу для меток и присаживается для опорожнения. Раньше этого не делал. Ни какой поддерживающей терапии пес не получал. Ему кололи антибиотики и ставили катетер. Хочу отвезти его в столицу для более современного лечения ,так как имею большую надежду на восстановление всех его функций.Читала что при таких проблемах назначают Прозерин и тд, в нашем провинциальном городке врачи этого не практикуют.Подскажите что можно и нужно сделать максимально в нашем случае. Заранее благодарю.
|


Рентген,перелом между
Рентген,перелом между последним поясничным и крестцовым.